Generación de imágenes
Ejercicio 
Muchas de las técnicas de diagnóstico empeladas en medicina se basan en obtener, procesar y analizar imágenes. Las imágenes no son necesariamente fotografías de objetos, pueden ser también representaciones espaciales de la distribución de distintos parámetros que medimos.
ID:(891, 0)
Generación de Imagenes
Descripción 
Variables
Cálculos
Cálculos
Ecuaciones
(ID 4116)
(ID 4118)
(ID 4129)
Ejemplos
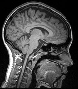
Resonancia magn tica nuclear
(ID 1732)
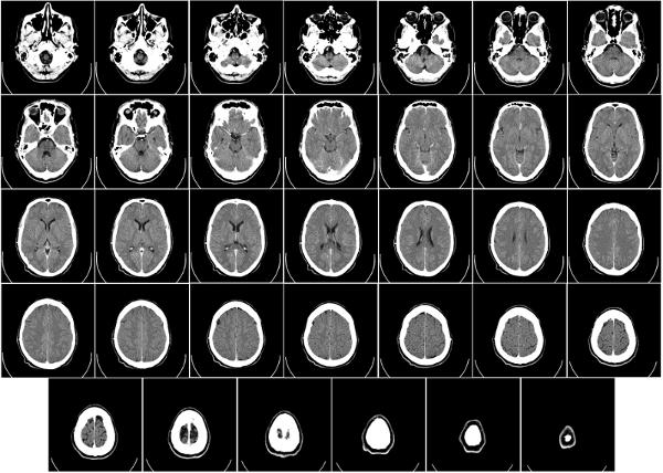
Tomograf a computacional (TC)
(ID 1730)
Complementando CT y PET
(ID 2013)
Resultado de la tomograf a computacional
(ID 2006)
Muchas de las t cnicas de diagn stico empeladas en medicina se basan en obtener, procesar y analizar im genes. Las im genes no son necesariamente fotograf as de objetos, pueden ser tambi n representaciones espaciales de la distribuci n de distintos par metros que medimos.
(ID 891)
Resultado de la resonancia magn tica nuclear
(ID 2010)
Problema matem tico
(ID 2004)
M todo de los radioisotopos
(ID 1733)
PET y SPECT
(ID 2011)
Funcionamiento
(ID 2009)
Soluci n de Hundsfield
(ID 2003)
Soluci n del problema matem tico
(ID 2005)
Radiofarmaco
(ID 2012)
ID:(351, 0)
